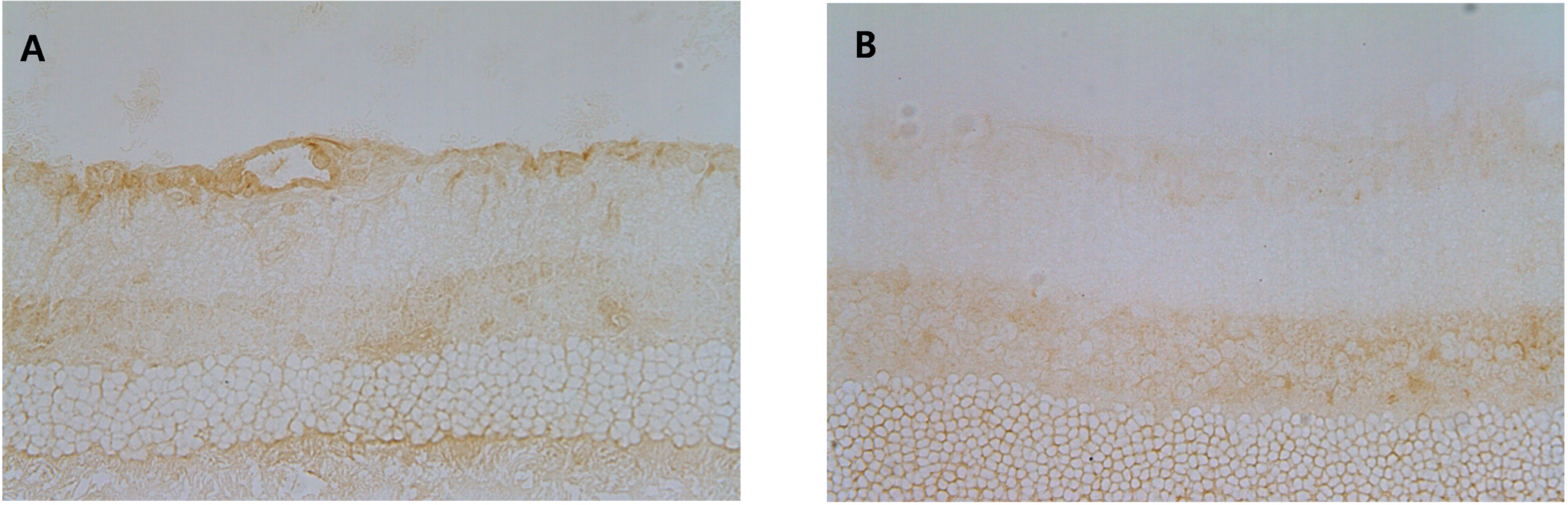
Figure 5. Expression of sirtuin 1 in retinal ganglion cells three days after optic nerve transection in eyes treated with resveratrol
injection (A) and in eyes treated with co-injections of sirtinol and resveratrol (B). The expression of sirtuin 1 (SIRT1) in retinal ganglion cells (RGCs) decreased in eyes treated with co-injections of sirtinol
and resveratrol.
