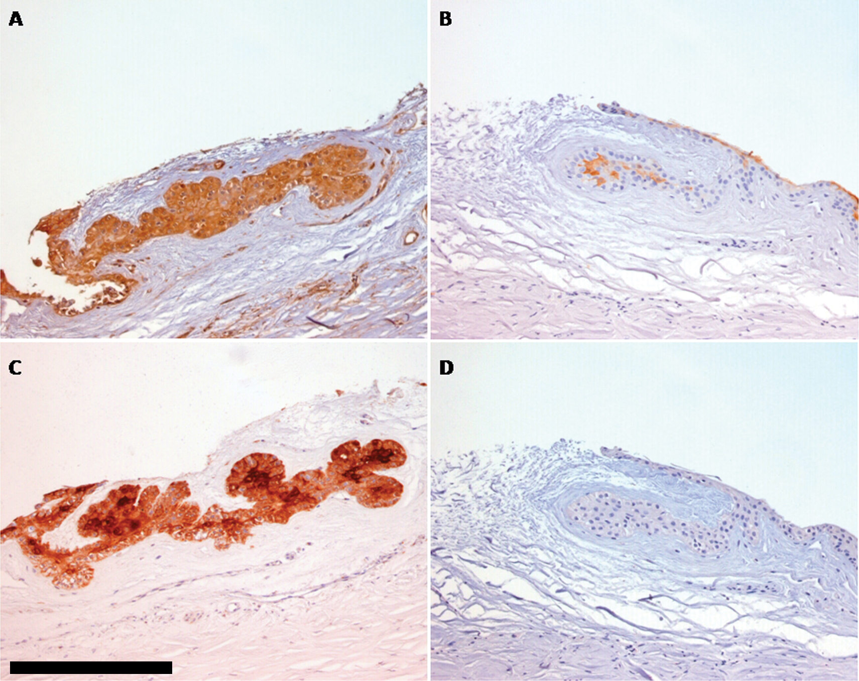
Figure 2. Expression of S100 A4, A8, A9, and B in human healthy limbal stem cell niche. S100 A4 and A9 positivity was evident in the
entire limbal stem cell niche (A–C). In contrast, S100 A8 positivity was present in only a few cells in the middle area of the crypt (B). No positivity was achieved for S100 B staining (D). Each section was counterstained with hematoxylin. Bar scale=50 µm. Original magnification=200X.
