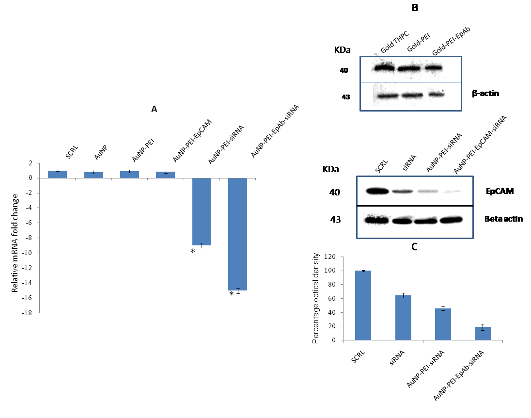
Figure 8. Effect of EpCAM antibody and siRNA conjugated nanoparticles on EpCAM expression in Y79 cells. A: Real-time reverse-transcriptase PCR analysis of EpCAM in Y79 cells. The graph shows significant down-regulation of EpCAM
mRNA in Y79 cells treated with EpCAM siRNA loaded with polyethylenemine capped gold nanoparticles (AuNP-PEI-siRNA) and EpCAM
antibody conjugated siRNA loaded PEI capped AuNP (AuNP-PEI-EpAb-siRNA) when compared to Y79 cells treated with scrambled siRNA
or AuNP alone or AuNP-PEI. The asterisk mark represents statistically significant (p<0.05) expression increase in EpCAM compared
to other groups. Enhanced downregulation of the EpCAM gene (−15 fold) was observed in the Y79 cells treated with EpCAM-conjugated
AuNP-PEI-siRNA when compared with EpCAM-unconjugated AuNP- PEI-siRNA (p<0.05). B: Western blotting analysis shows the effect of siRNA loaded AuNP conjugates on the EpCAM protein levels in the Y79 cells.
Enhanced knock-down of the EpCAM protein was observed in the Y79 cells when they were treated with EpCAM-conjugated AuNP-PEI-siRNA.
β-actin was included as the loading control (panel 2 and 4). C: Bar graphs showing the densitometry analysis of western blotting of the EpCAM protein. The graph shows the percentage optical
density of the EpCAM protein detected bands on the blotting membrane. Enhanced knockdown of the EpCAM protein was observed
in the Y79 cells when they were treated with EpCAM-conjugated AuNP-PEI-siRNA.
