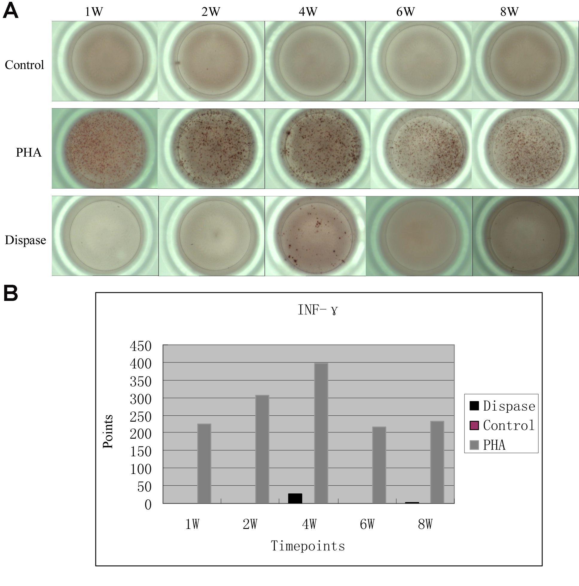
Figure 7. Enzyme-Linked ImmunoSpot
(ELISpot) assay of interferon (INF) -γ in single T cell
suspensions from dispase-injected and saline-injected mouse
spleens. A: Compared with positive control group
(stimulated with phytohemagglutinin, PHA), IFN-γ values were
only detected at 4-week and 8-week time points in
dispase-injected mice, and not detected at any time point in
saline-injected mice. B: In the graph of counting
statistics, there were only 25.5 points at the 4-week time
point, and 2.5 points in the 8-week for dispase-injected mice.
