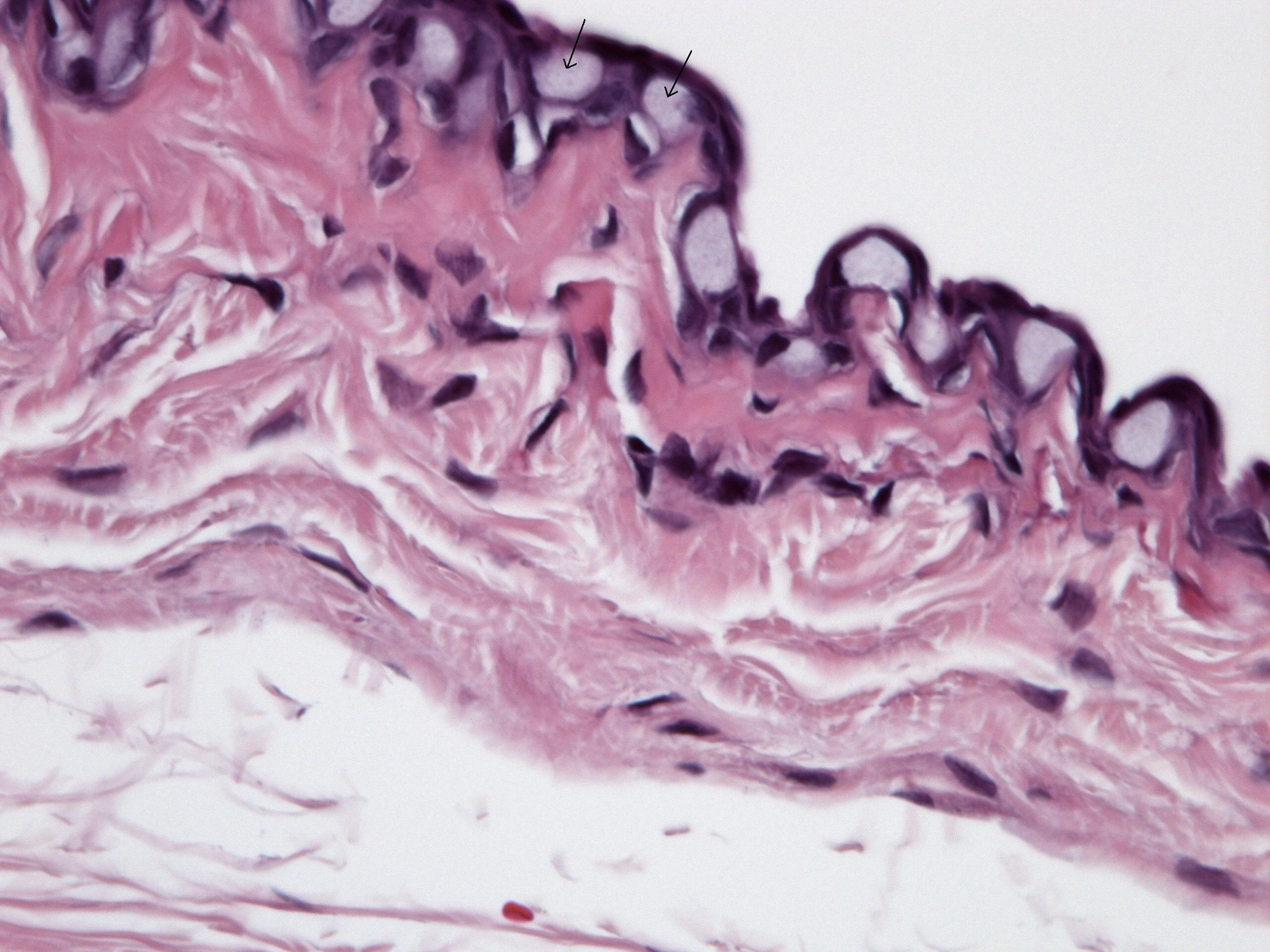
Figure 2 of SooHoo, Mol Vis 2012; 18:714-719.


Figure 2. A normal number of conjunctival goblet cells (arrows) per high power field with Hematoxylin and Eosin stain was noted in sections from the Ozurdex®-treated eyes (40× magnification).