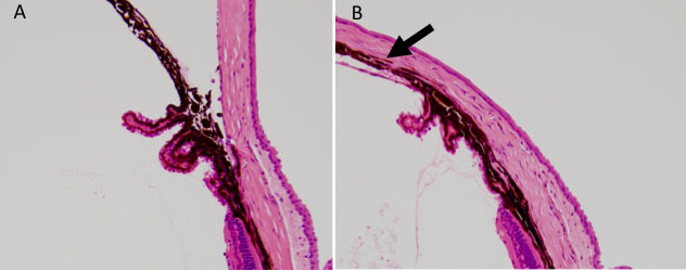
Figure 4 of Tsuruga, Mol Vis 2012; 18:2468-2478.


Figure 4. Histological assessment of the eye with ocular hypertension. Anterior segment of laser-treated B: and control A: eye was histologically assessed. The arrow indicates the closed angle induced by laser photocoagulation.