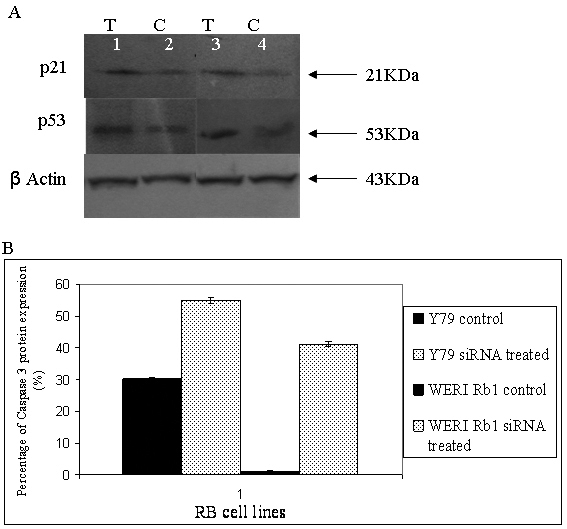
Figure 6. Effect of small interfering RNA on the expression of p21, p53, and caspase 3 in retinoblastoma (Y79, WERI Rb1) cells in vitro.
A: western blot analysis demonstrates a marked increase in p21 and p53 expression in Y79 cells treated with HMGA2-siRNA (lane 1), and p21 and p53 expression of HMGA2 in non-transfected Y79 cells (lane 2), a marked increase in p21 and p53
expression in WERI Rb 1 cells treated with HMGA2 siRNA (lane 3), and p21 and p53 expression in non-transfected WERI Rb1 cells (lane 4). B: The graphical representation of increased caspase 3 expression in HMGA2 siRNA transfected RB cells is compared to the non-transfected RB cells with flow cytometric analyses.
