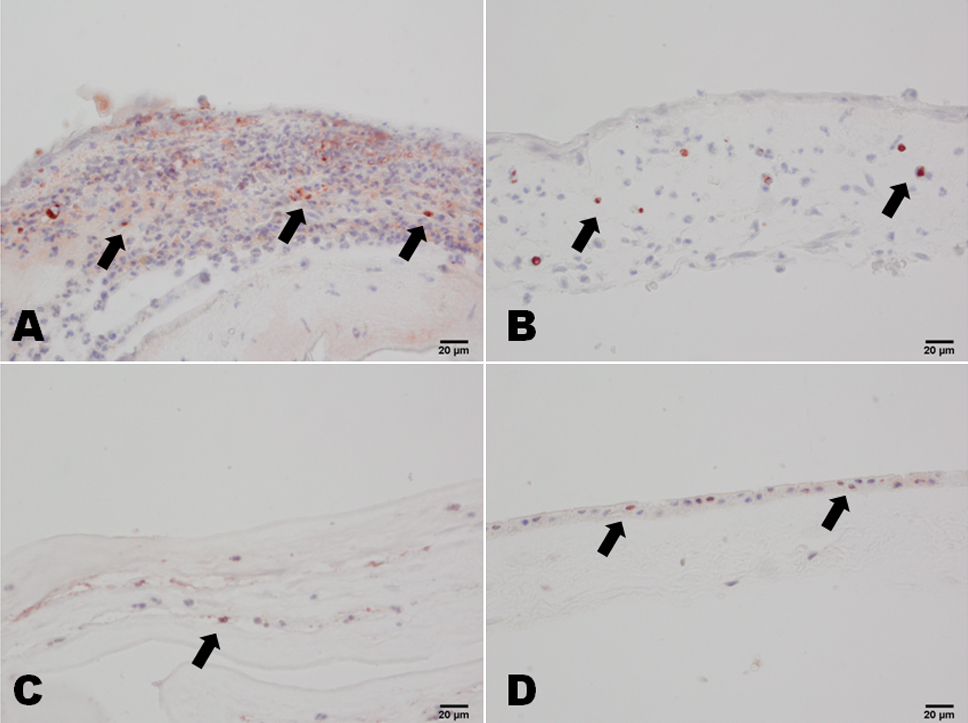
Figure 6. TUNEL staining of amniotic membrane stromal infiltrating cells in patients with chemical burns. In the severe burns group,
there were many TUNEL-positive cells in the amniotic membrane (A). In the moderate burns group, TUNEL-positive cells were observed in the stroma of the amniotic membrane (B). In the control HSK group, a few TUNEL-positive cells were observed in the stroma of the amniotic membrane (C). In the amniotic membrane before transplantation, a few epithelium cells of the amniotic membrane were TUNEL-positive (D). Scale bar: 20 μm.
