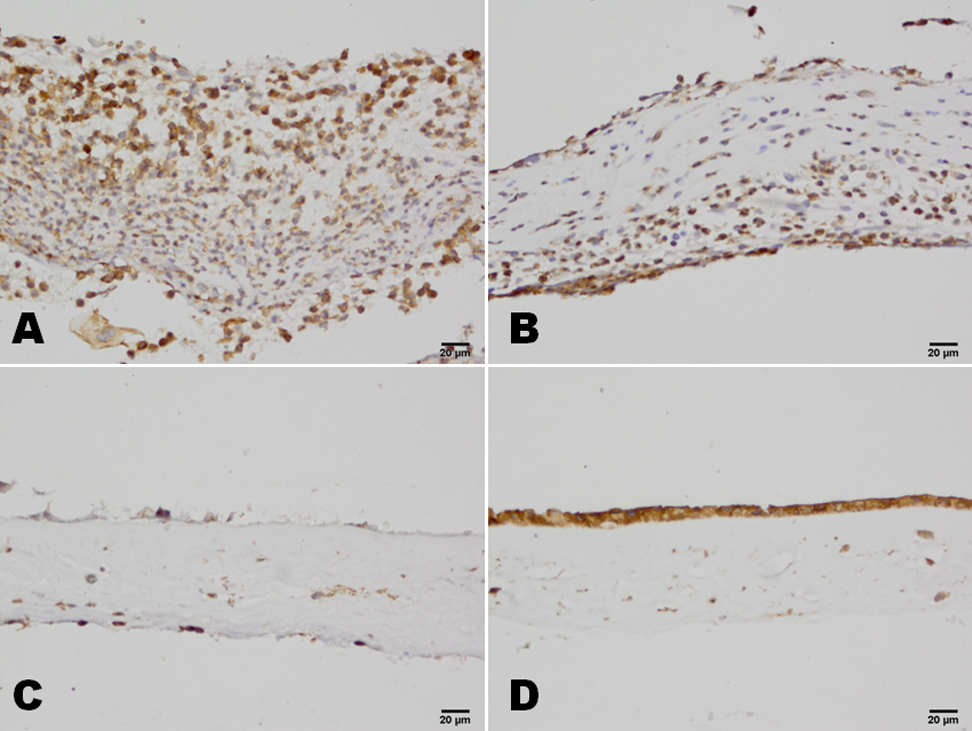
Figure 5. CD95 (Fas) staining of amniotic membrane stromal infiltrating cells in patients with chemical burns. In the severe burns group,
there were many Fas-positive cells in the amniotic membrane (A). In the moderate burns group, Fas-positive cells were observed in the bottom of the amniotic membrane (B). In the control HSK group, a few Fas-positive cells were observed in the surface of the amniotic membrane (C). In the amniotic membrane before transplantation, the epithelium cells of the amniotic membrane were Fas-positive (D). Scale bar: 20 μm.
