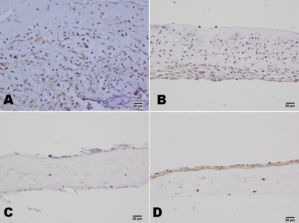
Figure 4. CD147 staining of amniotic membrane stromal infiltrating cells in patients with chemical burns. In the severe burns group,
there were many CD147-positive cells in the amniotic membrane (A). In the moderate burns group, CD147-positive cells were only observed in the bottom of the amniotic membrane (B). In the control HSK group, the cells of the amniotic membrane were CD147-negative (C). In the amniotic membrane before transplantation, the epithelium cells of the amniotic membrane were CD147-positive (D). Scale bar: 20 μm.
