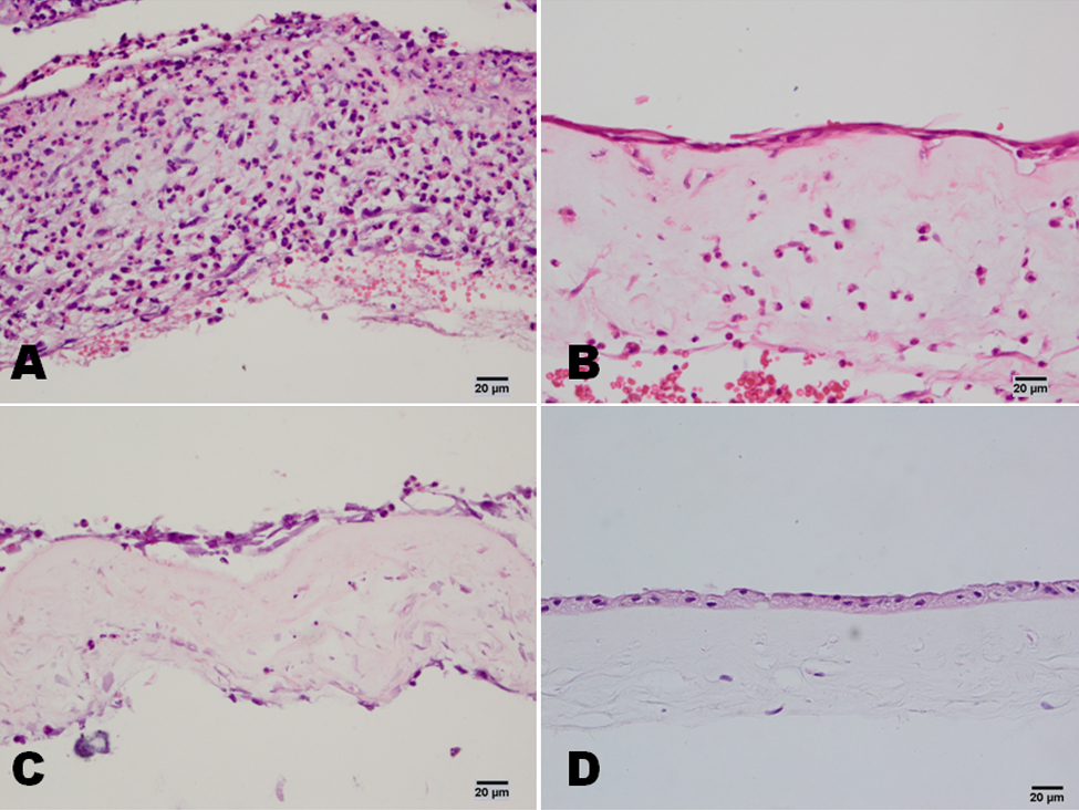
Figure 1. Hematoxylin and eosin staining of ammiotic membrane stromal infiltrating cells in patients with chemical burns. In the severe
burns group, there were many neutrophils in the amniotic membrane (A). In the moderate burns group, there were clearly fewer neutrophils in the amniotic membrane than in the severe burns group
(B). In the control HSK group, there were only a few neutrophils on the surface of the amniotic membrane (C). In the amniotic membrane before transplantation, no neutrophils were found (D). Scale bar: 20 μm.
