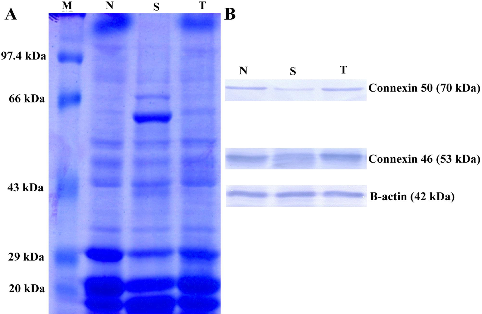
Figure 4. Sodium dodecyl sulfate PAGE
(SDS-PAGE) and immunoblot analysis of connexin 46 and connexin
50 in lysate of whole lens. A: Electrophoretic pattern
of proteins stained with Coomassie Brilliant Blue. B:
Representative western blots for connexin 46 and connexin 50
(with β-actin as loading control) in lenses of 16-day-old Wistar
rat pups. M-Marker; N- Group I (normal); S- Group II
(selenite-challenged, cataract untreated); T- Group III
(selenite-challenged, ALCAR-treated).
