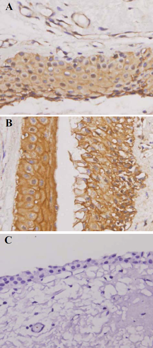
Figure 1. Representative positive and negative immunostainings for CYP1A1 protein in paraffin sections of pterygium. Representative
positive CYP1A1 immunostainings are shown in (A) and (B; 400×), negative immunostainings are shown in (C; 400×), representative.
