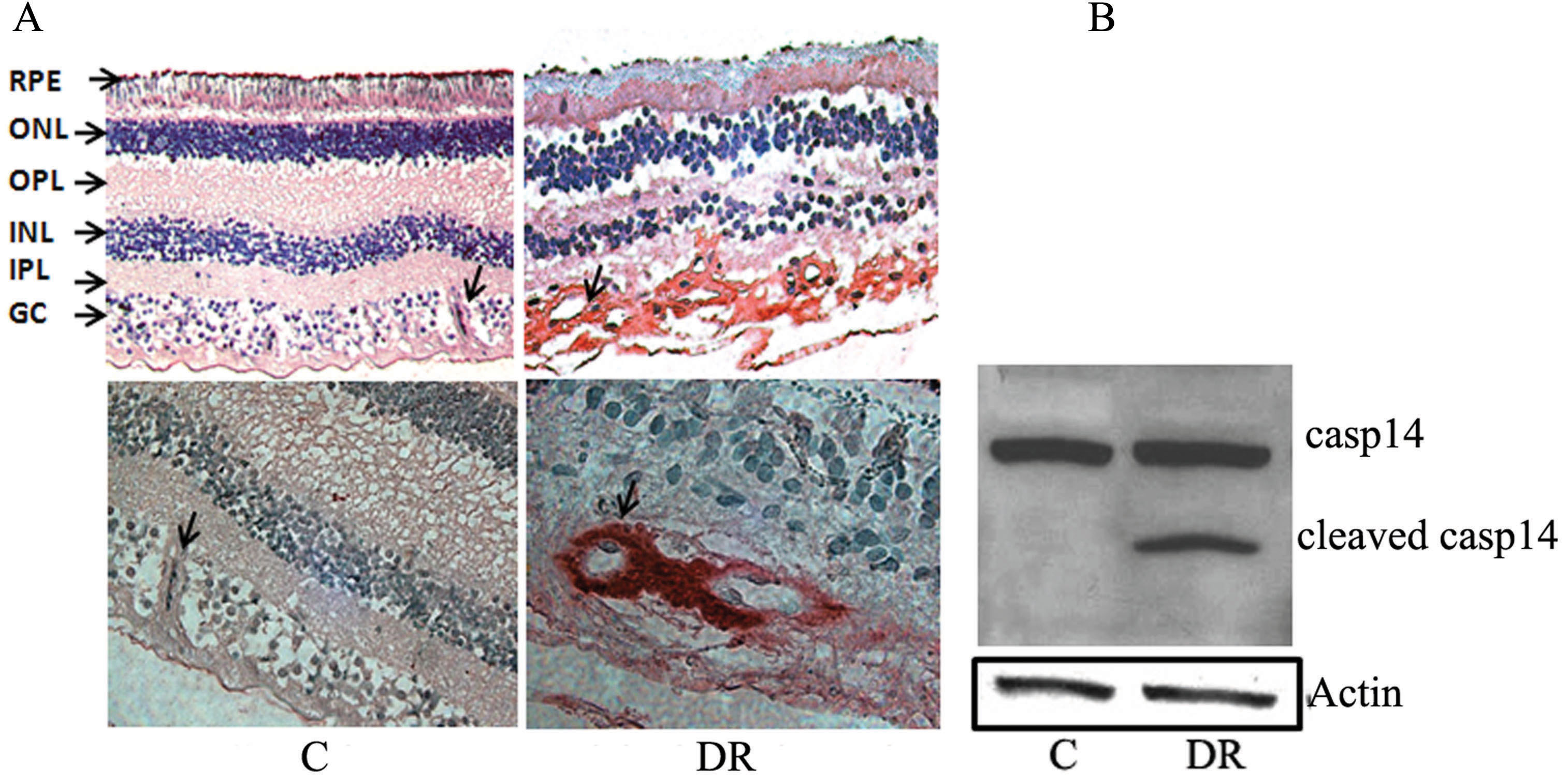
Figure 2. Caspase-14 in the human
retina. Immunohistochemistry of caspase-14 showed upregulation
of caspase-14 in the retinas of subjects with DR compared to the
control (A). There was marked caspase-14 immunoreactivity
in the retinal vascular and perivascular tissues of subjects
with DR (arrows) compared to the retina of subjects without DR.
Western blot analysis of caspase-14 in the retinas of human
subjects showed a marked increase in the expression of
caspase-14 and the processed caspase-14 in subjects with DR
compared to the control (B).
