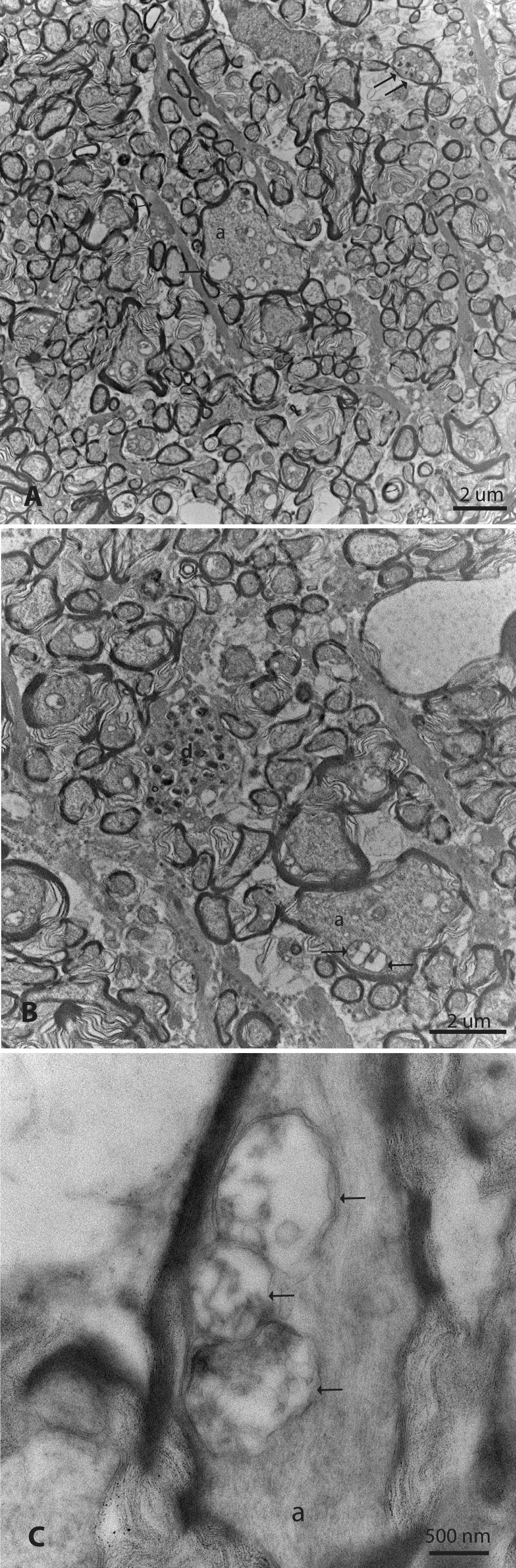
Figure 9. Mitochondria accumulate and fuse. A: Optic nerves from mutant ND4 MTS AAV injected eyes exhibited some large-caliber axons (a) with the accumulation of mitochondria (arrow) of varying diameters.
Electron-dense aggregations indicative of irreversible axonal degeneration were also evident (double arrows). B: In some swollen axons, two mitochondria were seen fusing (arrows). Irreversible axonal degeneration with intra-axonal electron
dense aggregations was evident in other axons (d). C: In another axon, three mitochondria (arrows) appeared to fuse.
