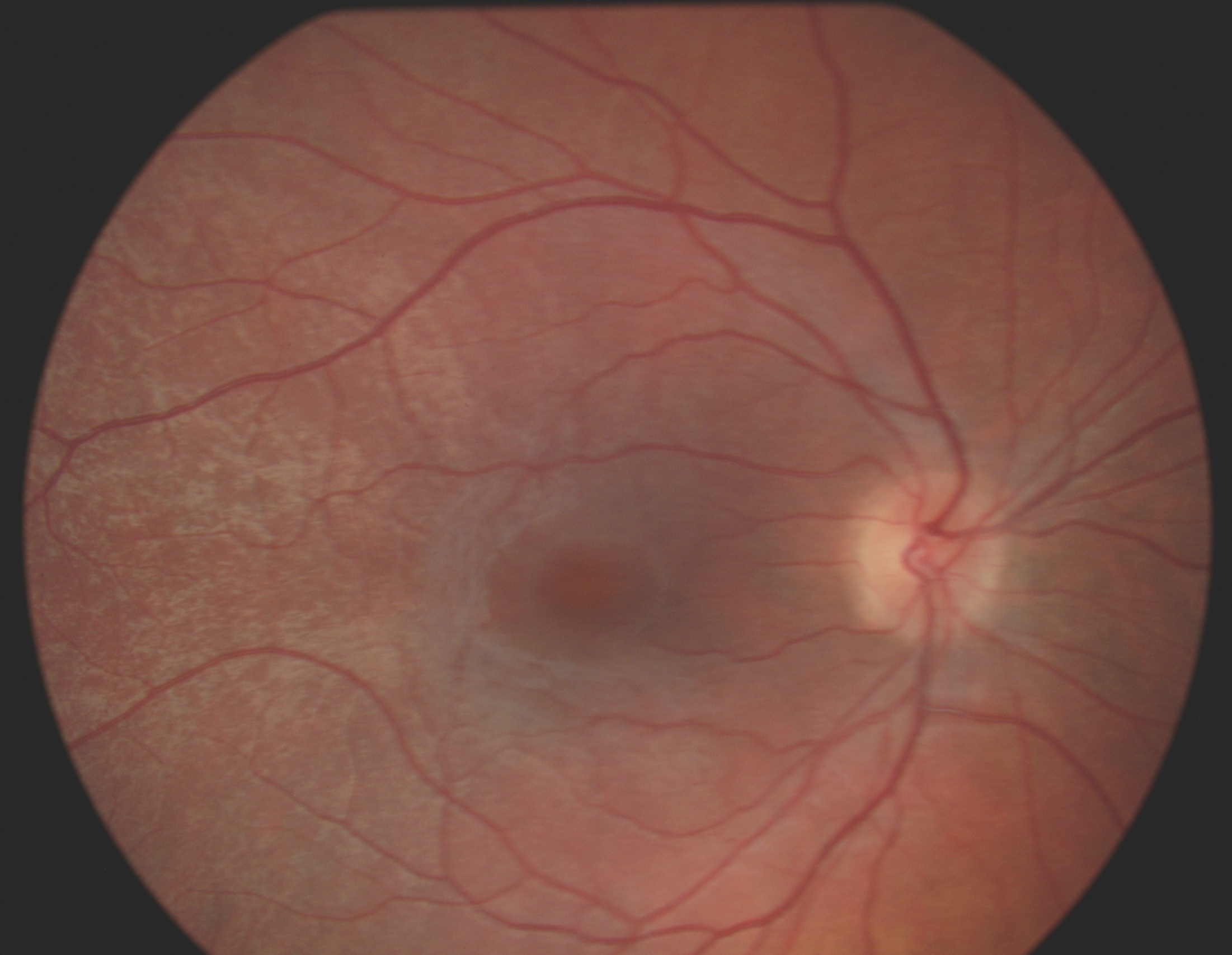
Figure 5. Fundus photography
demonstrating a tapetal-like reflex in a 22-year-old female
carrier of X-linked retinitis pigmentosa, from the photographic
archives of our clinic. The patient belongs to a known Danish
X-linked retinitis pigmentosa (XLRP) family, where molecular
genetic analysis has identified a disease causing single base
pair deletion c.3395delA at the 3′ end of the ORF15 exon in RPGR,
resulting in a premature stop codon.
