Figure 1 of Schatz, Mol Vis 2012; 18:1147-1155.


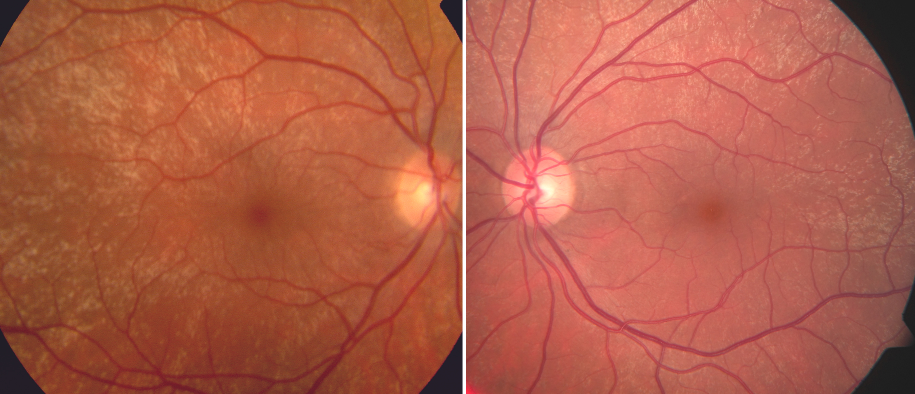
Figure 1. Fundus photography in a healthy male patient demonstrating the presence of bilateral tapetal-like reflex.