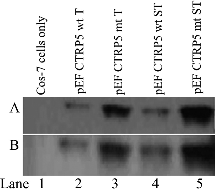
Figure 6. Western blot analysis for the detection of functional ATG start site for pCTRP5. A: western blot analysis of Cos-7 cell lysates transfected with pEF-CTRP5 wt T (lane 2), pEF CTRP5 mt T (lane 3), pEF CTRP5
wt ST (lane 4), pEF CTRP5 mt ST (lane 5), and nontransfected Cos-7 cells (lane 1) incubated with anti-CTRP5 polyclonal antibody.
B: The blot was stripped and incubated with anti-V5 antibody. A single 31 kDa protein was detected using either antibody. This
indicates that only the predicted ATG is the functional for the translation of CTRP5 (A and B).
