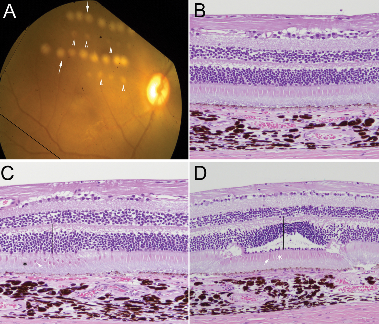
Figure 1 of Dunmire, Mol Vis 2011; 17:779-791.


Figure 1. Fundus examination and histological evaluation of severe and MVL type laser lesions in a retina. A: Rows of severe lesions (arrows) and MVL (arrow heads) caught by fundus imaging immediately following laser treatment. B-D: Histology of normal and laser-treated retina 1 day following laser injury. B: Normal retina adjacent to the region that was treated with laser. Note the intact sensory retina and retinal pigment epithelium. C: Minimally visible lesions show mild swelling of the outer nuclear layer (line), condensation of cone inner segments (arrow), and mild disruption of photoreceptor outer segments (*) and RPE. The inner retina and underlying choroid are unaffected. D: A severe retinal lesion showing outer retinal swelling with disruption of the outer nuclear layer, the outer plexiform layer, and portions of the inner nuclear layer (line). Note the mummification of photoreceptor inner segments (*), as indicated by shrinkage and condensation (arrow). Also note mummification [69,70] of the underlying photoreceptor outer segments and RPE (hematoxylin and eosin, original magnification 20×).