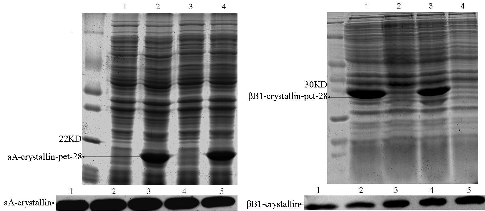
Figure 1. SDS–PAGE for induced expression
of recombinant proteins (αA-crystallin-pet28, βB1-crystallin-pet28) and
western blotting analysis for the two specific antibodies. Recombinant
proteins were expressed in E. coli Rosetta (DE3). Their
respective molecular weigh are 19 kDa and 23 kDa. In western
blotting analysis, sample 1, 2, and 3 are total lens proteins; samples
4 and 5 are purified fusion proteins. By results, good specificity is
shown.
