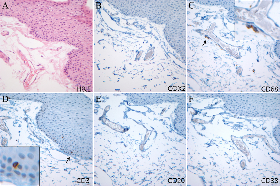
Figure 9. Immunohistochemistry of adjacent sections of normal conjunctiva (control). A: Hematoxylin and eosin staining is demonstrated. B: Cyclooxygenase-2 expression was not observed in either the epithelial or stromal layer. C: A few CD68-expressing macrophages were observed near blood vessels. The inserted image is the magnification of the arrow-indicated
area. D: Intra-epithelial CD3-expressing T cells were observed. The inserted image is the magnification of the arrow-indicated area.
E, F: Neither CD20-expressing cells nor CD38-expressing cells were found.
