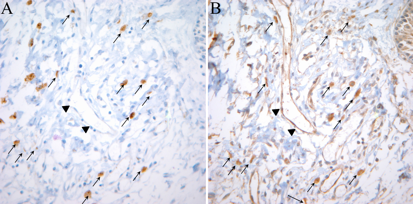
Figure 8. Co-expression of cyclooxygenase-2 (COX-2) and vascular endothelial growth factor (VEGF). Immunohistochemistry of adjacent
sections of tissue using anti-COX-2 antibody (A) and anti-VEGF-A antibody (B) was performed in case 2. The arrows indicate cells co-expressing COX-2 and VEGF-A. VEGF-A-expressing vascular endothelial
cells in this slide were negative for COX-2 expression. (arrowheads).
