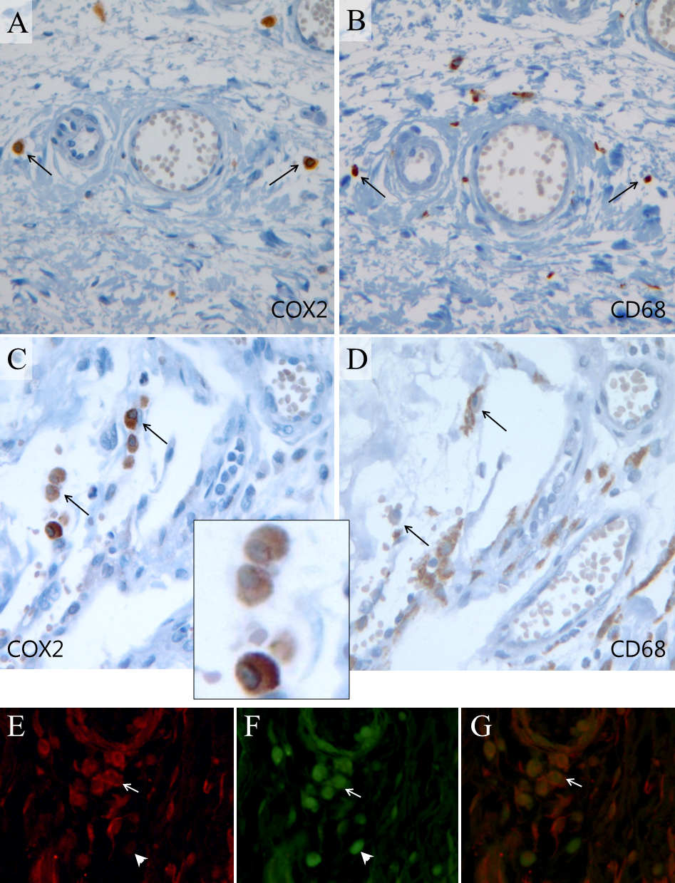
Figure 7. Expression of cyclooxygenase-2 (COX-2) and CD68. Immunohistochemistry of adjacent sections of tissue using anti-COX-2 antibody
and anti-CD68 antibody was performed in case 9 (A, B), case 2 (C, D), and case 10 (E-G). Arrows indicate the cells co-expressing COX-2 and CD68. Not all CD68-expressing cells co-expressed COX-2; however, most
COX-2-expressing cells co-expressed CD68. Panel C includes the magnified image of COX 2-expressing cells that have a morphology suggesting macrophages. Panels E and F are stained with fluorescent antibody targeting COX-2 (red) and CD68 (green). The merged image (panel G) shows that COX-2 and CD68 are expressed in the same cells (arrow). The arrowhead indicates one macrophage that expressed
CD68 but not COX-2.
