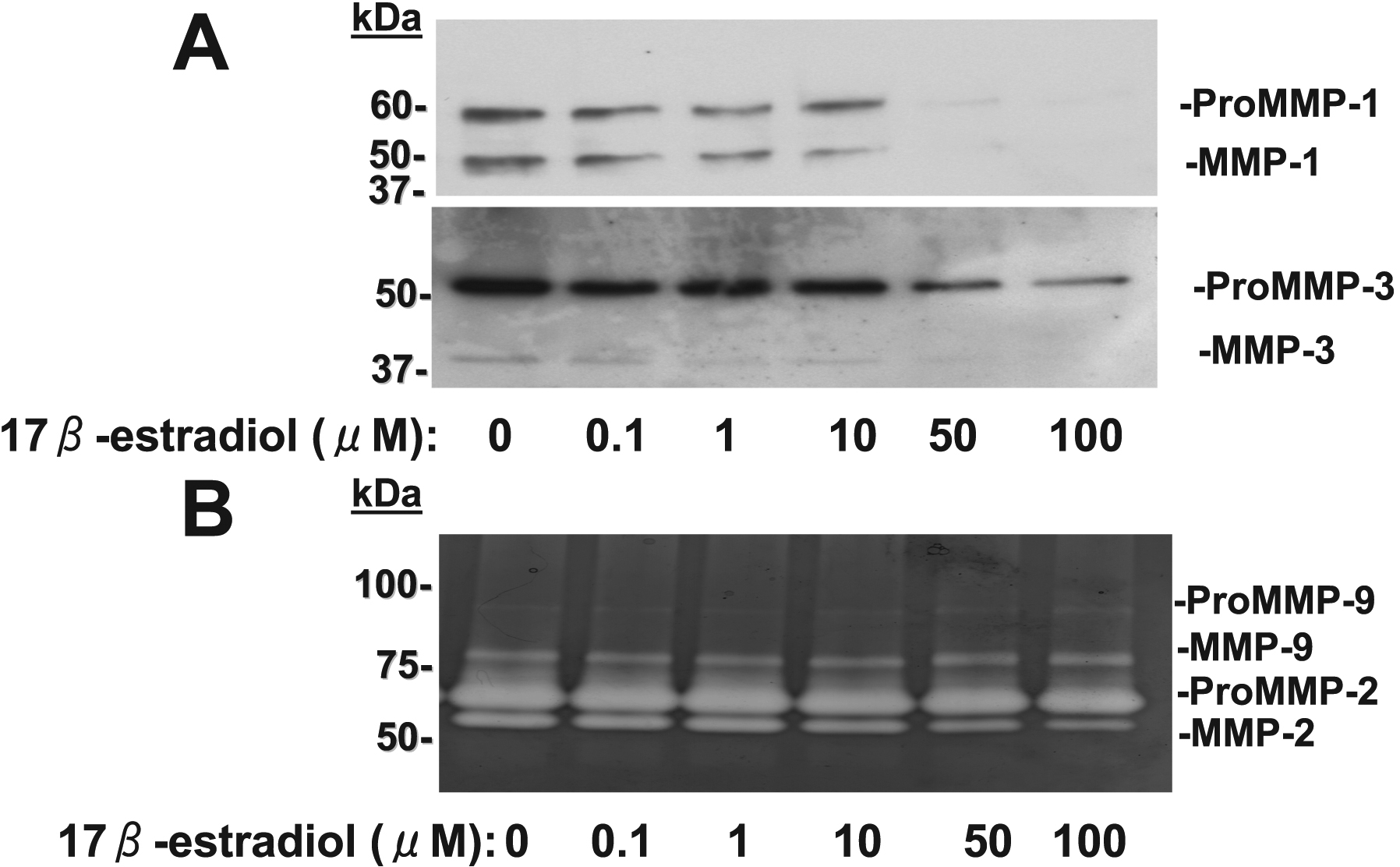
Figure 4. Effects of 17β-estradiol on
MMP abundance and activity in culture supernatants of corneal
fibroblasts stimulated with IL-1β. Cells were cultured in
collagen gels in the presence of IL-1β (0.1 ng/ml) and the
indicated concentrations of 17β-estradiol for 36 h, after which
the culture supernatants were subjected to immunoblot analysis
with antibodies to MMP-1 or to MMP-3 (A) or were analyzed
by gelatin zymography (B). Bands corresponding to the pro
and active forms of MMPs are indicated. Similar results were
obtained in three separate experiments.
