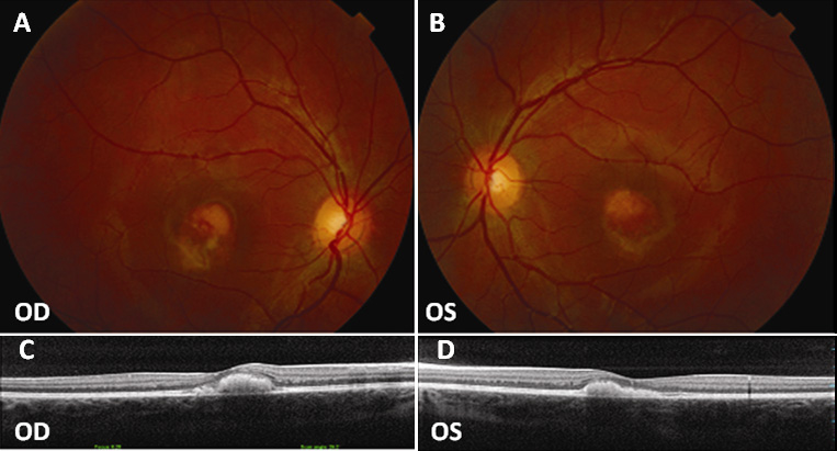
Figure 5. Fundus photographs and optical coherence tomography (OCT) scans of patient C-4. A, B: Bilateral vitelliform discs in the vitelliruptive stage. C, D: Bilateral hyperreflective dome-shaped lesions located between the RPE and the neuroretina. OD represents the right eye;
OS represents the left eye.
