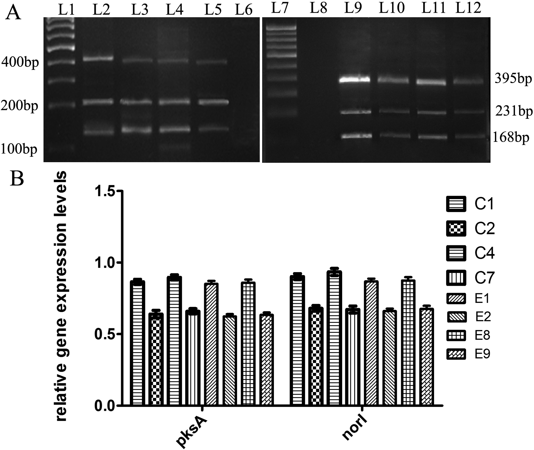
Figure 2. mRNA transcripts of the β-tubulin
(231 bp), nor-1 (168 bp) and pksA(395 bp)
generated by RT–PCR from the corneal and environmental isolates
of Aspergillus flavus. Ten µl of each amplified product
were loaded on a 2% agarose gel. A: Lanes L1 and L7 were loaded
with a 100 bp DNA marker. Lanes L2 to L5 were loaded with RT–PCR
products of nor-1, pksA and β-tubulin genes from 7-day
old cultures of corneal A. flavus isolates C1, C2, C4,
and C7, respectively. Lanes L6 and L8 were loaded with controls
for the PCR reaction. Lanes L9 to L12 were loaded with RT–PCR
products of the nor-1, pksA and β-tubulin genes
from 7-day old cultures of environmental A. flavus
isolates E1, E4, E8, and E9, respectively. B: Graphical
representation of the relative gene expression levels of the
regulatory genes nor-1 and pksA of the corneal
and environmental isolates of Aspergillus flavus.
