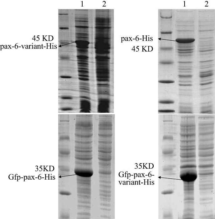
Figure 2. SDS–PAGE for induced expression of recombinant proteins. The 4 recombinant proteins are Pax6-variant-His, Pax6-His, Gfp-Pax6-His,
and Gfp-Pax6-variant-His, which were expressed in E. coli Rosetta (DE3). Their respective molecular weighs are 43 kDa, 46 kDa, 35 kDa, 32 kDa. All of sample 1 consists of induced
proteins; all of sample 2 is negative controls, which were not induced.
