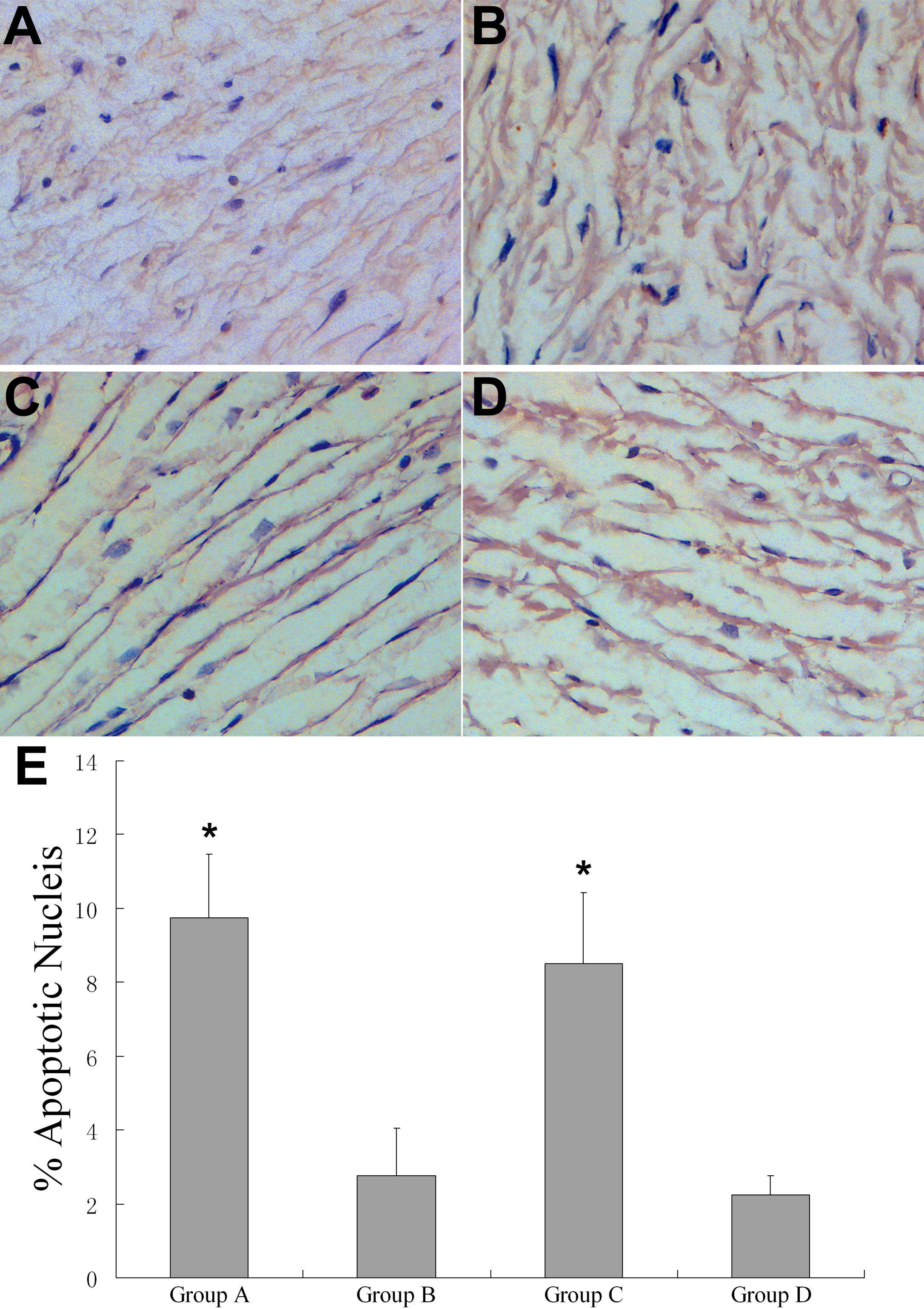
Figure 8. Apoptosis by TUNEL assay in
each group at 28 days post-op. A-D:
Immunohistochemical analysis for apoptosis by TUNEL assay. A:
Group A, B: Group B, C: Group C, D:
Group D. E: Quantitation of the number of apoptotic
fibroblasts in the subconjunctival space at post-op 28 days.
*p<0.01 for treated (rapamycin) versus control (Group B and
D; n=4). Original magnification: 200×.
