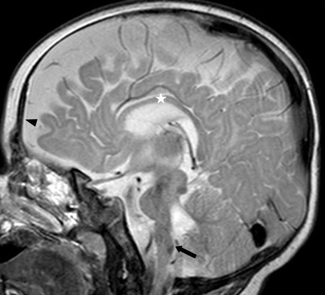
Figure 9 of Volk, Mol Vis 2011; 17:1978-1986.


Figure 9. Sagittal magnetic resonance imaging scan of patient 4 at the age of 6 months. The frontal lobes are hypoplastic (arrowhead). The corpus callosum is thinned (star) and the brainstem is flattened (arrow).