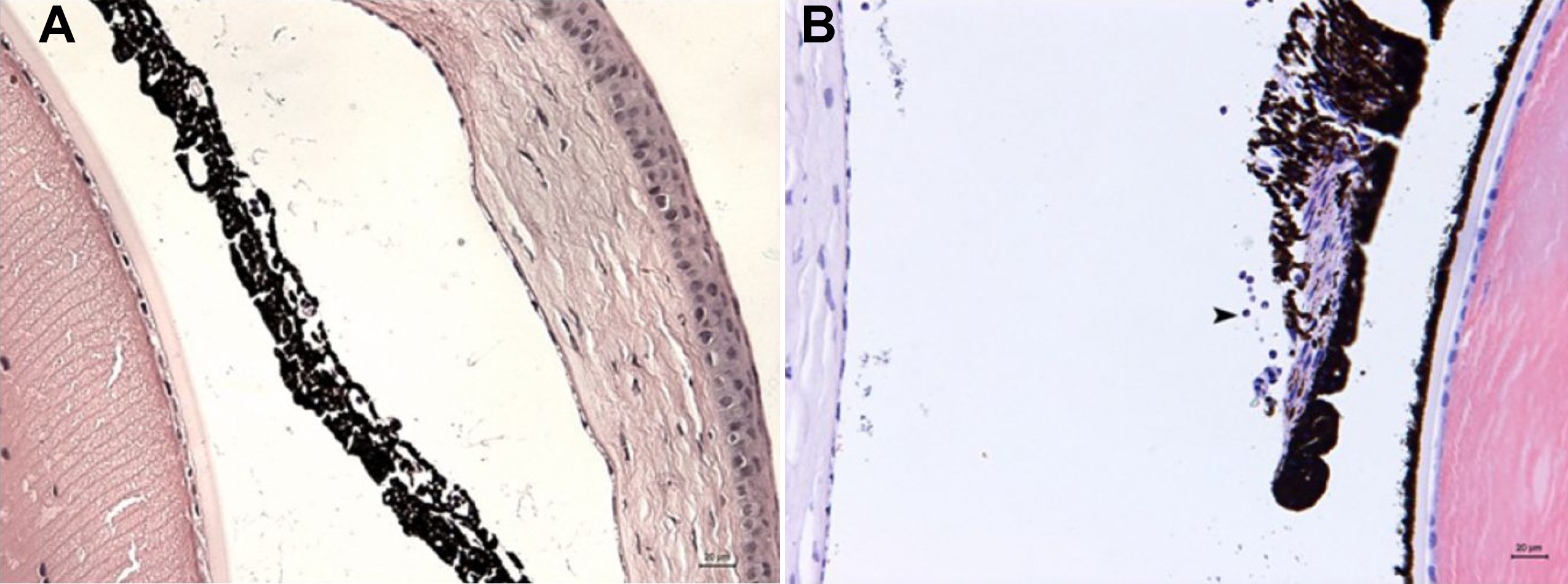
Figure 2. HE staining in C3H /HeN mice at
24 h after injection of endotoxin. A: No inflammatory cells
were observed in the anterior chamber of C3H /HeJ mice (bar=20 μm). B:
Thickness
of iris stroma layer and a large number of neutrophilic
granulocytes were observed in C3H /HeN mice (Arrow indicated positive
cells, bar=20 μm).
