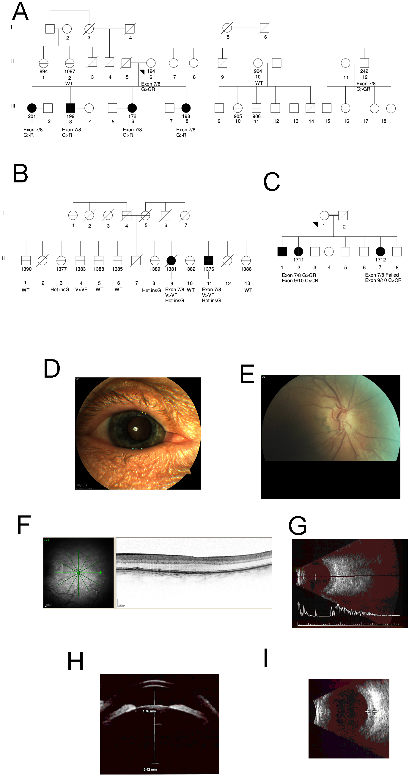
Figure 1. Nanophthalmos families. In each
panel, affected individuals are shown with filled black symbols.
Sampled individuals have additional identification number in addition
to generation numbers. For sampled individuals, genotypes are shown for
relevant putative coding mutations in PRSS56. A: Family
1, (Maritime, mutation p.G320R). Consanguinity results from a closed
inheritance loop higher in the pedigree, not shown. B: Family 2
(Maritime, mutations p V302F, c.828_833 het_ insG). C: Family 3
(Mexico, mutations p.G237R, p.C395P). D-I: Clinical
imaging of the right eye of patient 172: D: external photo,
with rigid contact lens in situ; E: color disc image; F:
optical
coherence tomography of the macula; G: contact B-scan
ultrasound; H: ultrasound biomicroscopy, with anterior chamber
and lens thickness dimensions; I: choroidal thickening on
Immersion B-scan ultrasound.
