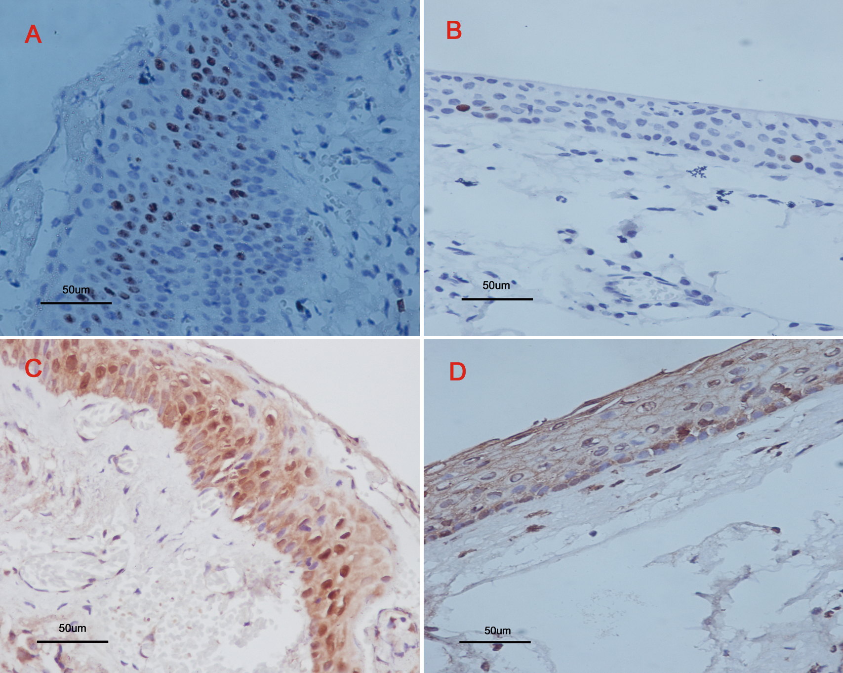
Figure 1. Immunohistochemical staining for
Ki-67 and PCNA positive cells in pterygium and normal
conjunctiva samples. Positive Ki-67 immunostaining showed
higher nuclear staining in pterygia (A) than in normal
conjunctivas (B). PCNA immunostaining showed a higher nuclear
staining in pterygia (C) than in normal conjunctivas (D).
All slides were counterstained with Mayer’s hematoxylin. Original
magnifications: A-D, 400×.
