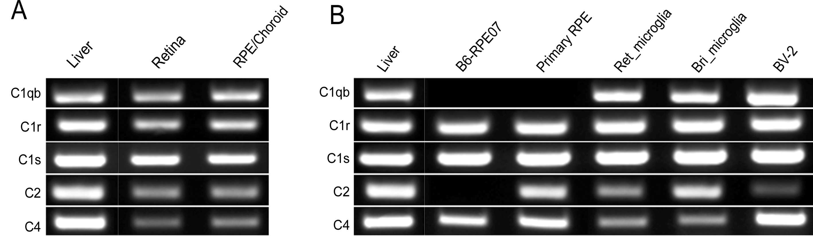
Figure 1. The expression of selected
classical pathway-related complement genes. The expression of C1qb,
C1r, C1s, C2, and C4 in retina and
retinal pigment epithelium (RPE)/choroid (A) and primary
cultured RPE cells, B6-RPE07 cell line, primary cultured retinal
microglia (Ret_microglia), brain microglia (Bri_microglia), and BV-2
cells (B) were analyzed by reverse transcriptase-PCR. Total RNA
from mouse liver tissue was used as a positive control.
