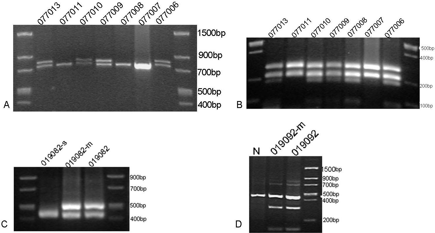
Figure 4. A restriction fragment length
analysis of the four mutations detected in this study. A:
c.2802T>G abolished a HincII restriction site that co-segregated
with the affected individuals and the carriers (42 bp, 57 bp, 99 bp,
717 bp, and 774 bp), but not with unaffected individuals and normal
controls (42 bp, 57 bp, and 717 bp). B: c.8232G>C created a
new HpyCH4V restriction site that co-segregated with the affected
individuals and the carriers (88 bp, 186 bp, 218 bp, and 274 bp), but
not with unaffected individuals and normal controls (218 bp, 274 bp). C:
c.3788G>A
abolished a BsaI restriction site that co-segregated with
the affected individuals and the carriers (70 bp, 132 bp, 422 bp, and
492 bp), but not with unaffected individuals and normal controls (70
bp, 132 bp, and 422 bp). D: c.14403C>G created a SpeI
restriction site that co-segregated with the affected individuals and
the carriers (145 bp, 300 bp, and 445 bp), but not with unaffected
individuals and normal controls (445 bp). A participant identification
number is given above each lane. N represents normal controls.
