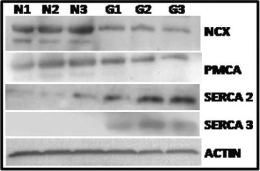
Figure 4. Expression of Ca2+ extrusion and storage systems are altered in GLC cells. Western blot analyses of Ca2+ extrusion and storage systems in NLC cells (n=3 cell lines) and GLC cells (n=3 cell lines). Protein lysates were examined
for differential expression of the calcium extrusion components, PMCA, NCX and the SERCA storage pump. Overall, PMCA-1 and
PMCA-4 expression is down regulated in GLC cells when compared to NLC cells, a similar pattern is also observed for NCX-1
and NCX-3. Expression of SERCA2 and SERCA3 is significantly upregulated in GLC cells compared to NLC cells. n=3 for NLC and
GLC cells. Actin is used as a loading control for this experiment.
