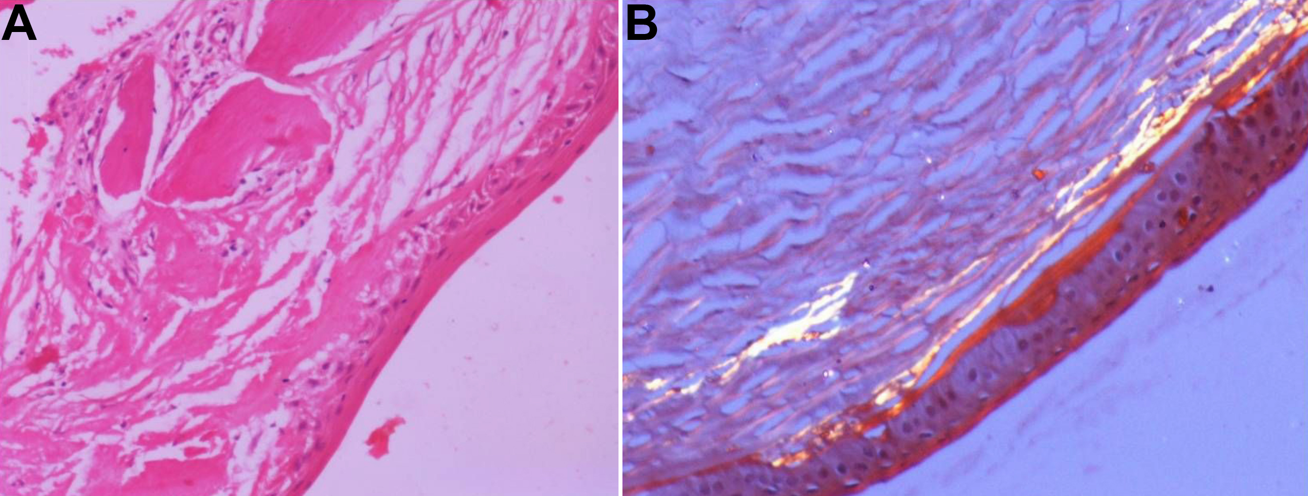
Figure 5. Histopathological findings. A:
Hematoxylin and eosin staining at 20× reveals atrophied overlying
epithelium and Bowman’s membrane. The subepithelium and superficial
stroma are seen containing eosinophilic material. B: Amyloid
deposition was confirmed in the anterior and posterior stroma as
birefringence was seen on viewing under a polarized filter.
