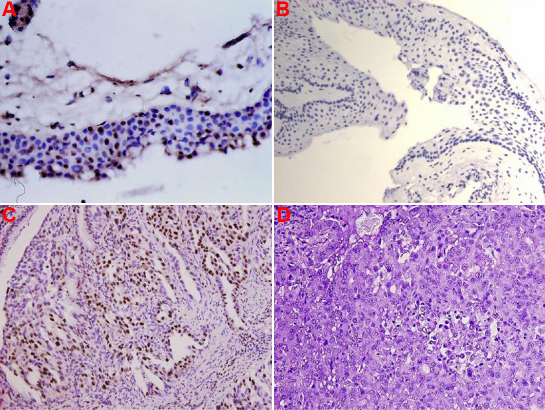
Figure 1. Representative positive and negative immunostaining for BaP 7,8-diol 9,10-epoxide (BPDE)like DNA adducts in paraffin sections
of pterygium epithelial cells. Representative positive immunostaining (brown signal) in the epithelial layer is shown in A (200×), negative immunostaining is shown in B (200×), a lung cancer section with high BPDE-like DNA adduct levels used as the positive control is shown in C (brown; 200×), and a lung cancer section with no detectable BPDE-like DNA adduct levels, which was used as the negative control,
is shown in D (200×).
