Figure 2 of Liu, Mol Vis 2010; 16:454-461.


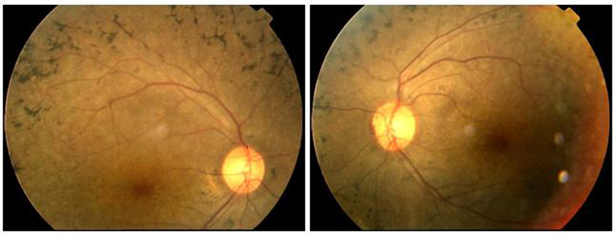
Figure 2. Fundus appearance of the proband. The typical RP symptoms including attenuation of the retinal vessels, waxy pallor of the optic nerve head, and bone speckle-like pigmentation clumps in the peripheral retina were showed.