Figure 3 of Bhatt, Mol Vis 2010; 16:283-293.


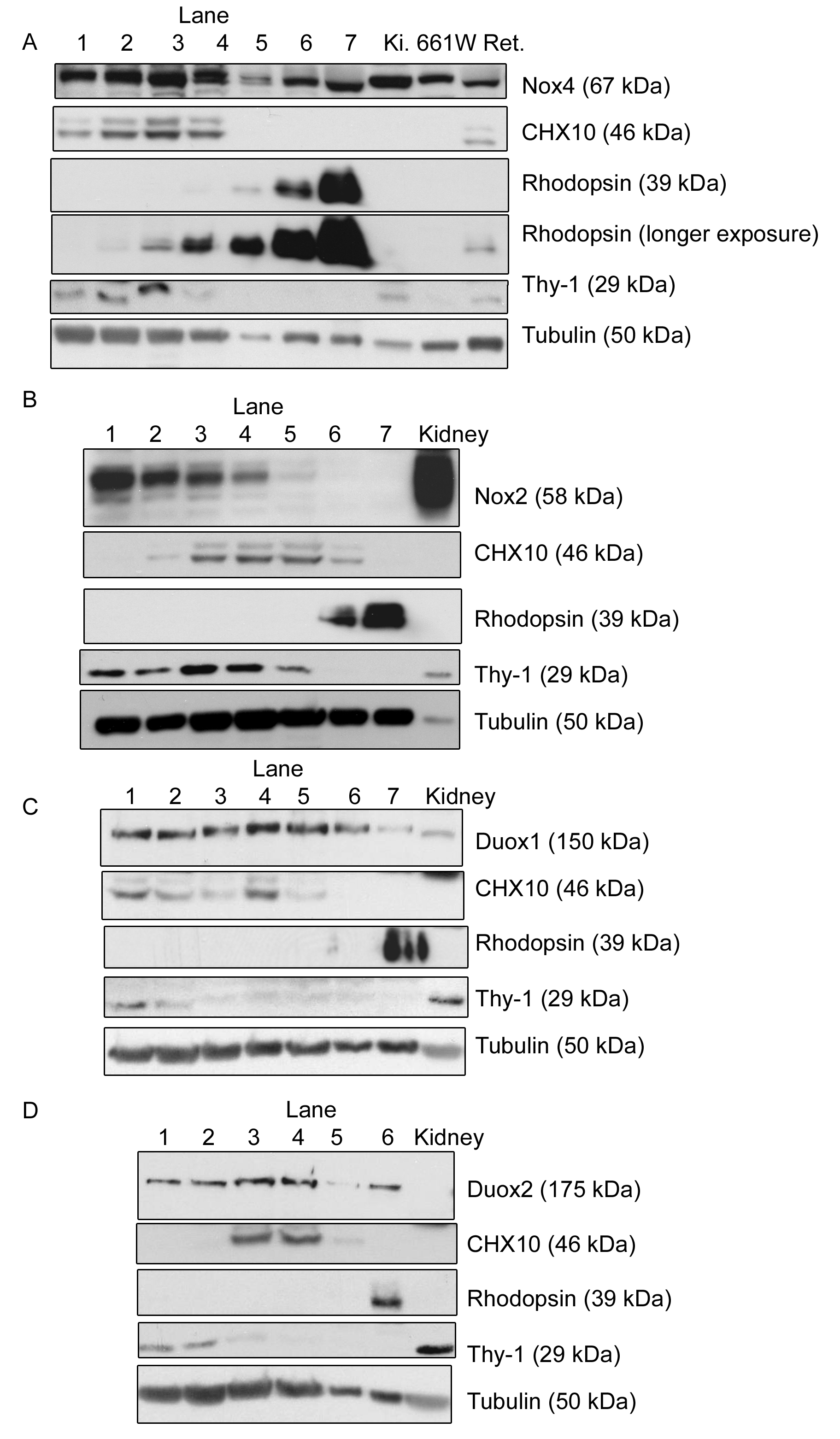
Figure 3. The expression pattern of nicotinamide adenine dinucleotide phosphate oxidase (Nox) 4, Nox2, dual oxidase (Duox) 1, and Duox2 in retinal layers is demonstrated through western blotting of serial sections of the retina. In all parts, Lane 1 represents the first section removed from the ganglion cell side of the retina, and lane 6/7 is the final section obtained from that retina and represents the outermost layer of the photoreceptor cell side of the retina. Thymocyte differentiation antigen 1 (Thy-1) served as a marker of ganglion cells, rhodopsin of photoreceptor cells, and Ceh-10 homeodomain containing homolog (CHX10) of rod bipolar cells, illustrating that the technique functioned well to separate the retinal layers (middle panels of A, B, C, D). In part A, the three lanes on the far right of the gel are control lanes, which are marked as follows, kidney (Ki.; which is known to be a high expressor of Nox4), 661W cells, and a whole retinal lysate (Ret.) to demonstrate the similarity between this and our previous paper [14]. In B-D, only the kidney control was maintained. The expression of Nox4 throughout all of the retinal layers is demonstrated (A). Nox2 was expressed in most of the retinal layers, with highest expression in the ganglion cell side and lowest at the photoreceptor side (B). Duox1 (C) and Duox2 (D) showed similar expression patterns, with their highest expression levels being in the middle lanes. Tubulin was used throughout as a loading control. Blots are representative of at least three independent experiments.