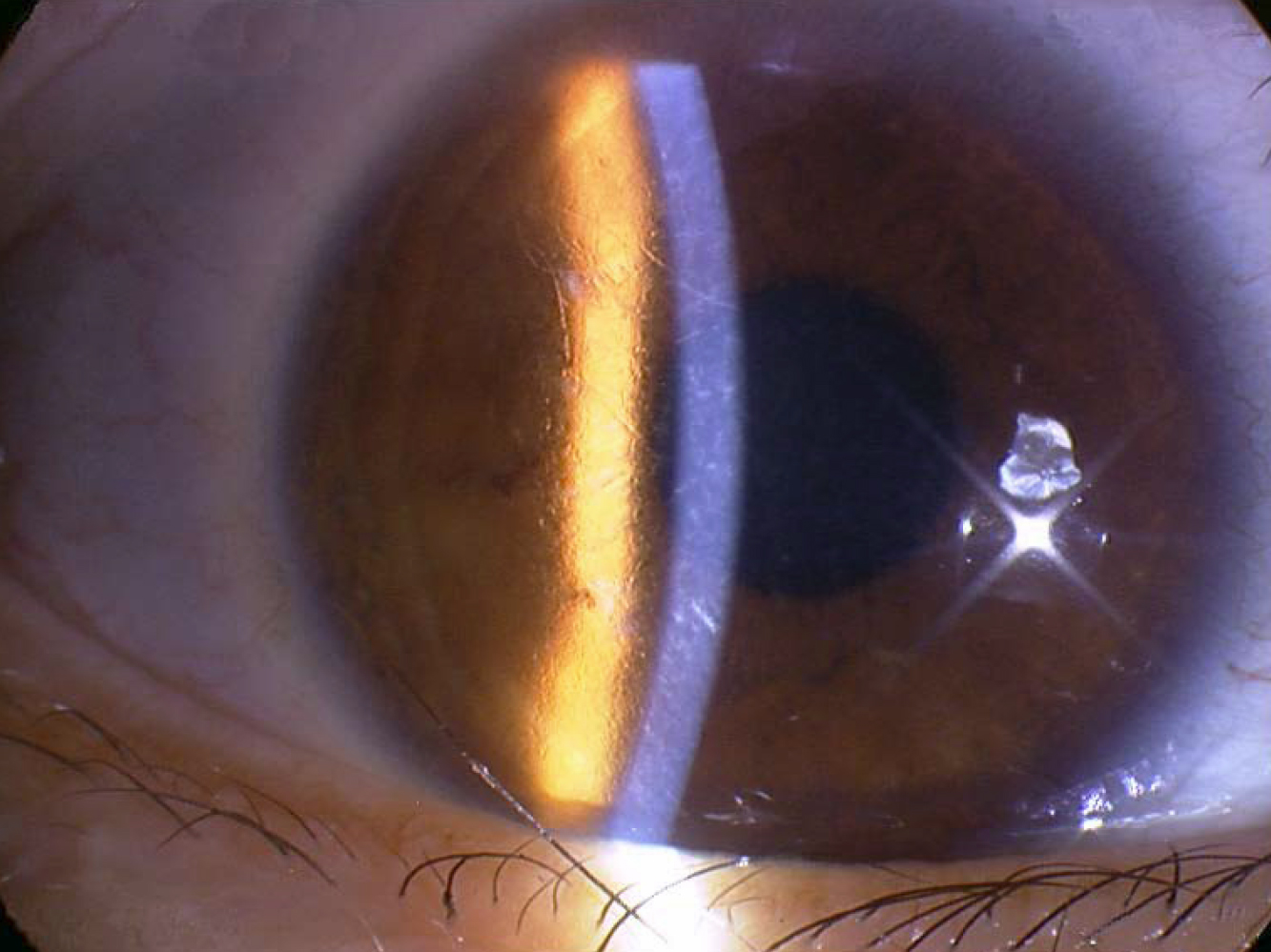
Figure 3 of Zhong, Mol Vis 2010; 16:224-230.


Figure 3. The affected individual of Family 2 (II-4) at 28 years of age; a thin lattice of deposition in the stromal layer associated with subepithelial smaller opaque spots is shown.