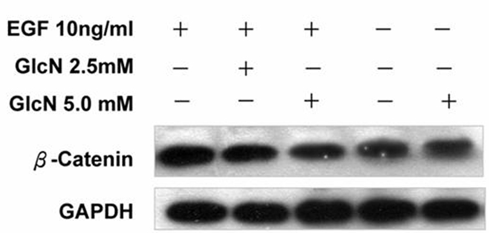
Figure 7. Glucosamine (GlcN) suppressed
epidermal growth factor (EGF)-induced increases in β-catenin. The human
retinal pigment epithelial cell line (ARPE-19) cells were cultured to
80% confluence, treated with 2.5 mM or 5 mM GlcN in serum-free medium
for 24 h, then stimulated with EGF for further 24 h and probed with
antibody against β-catenin.
