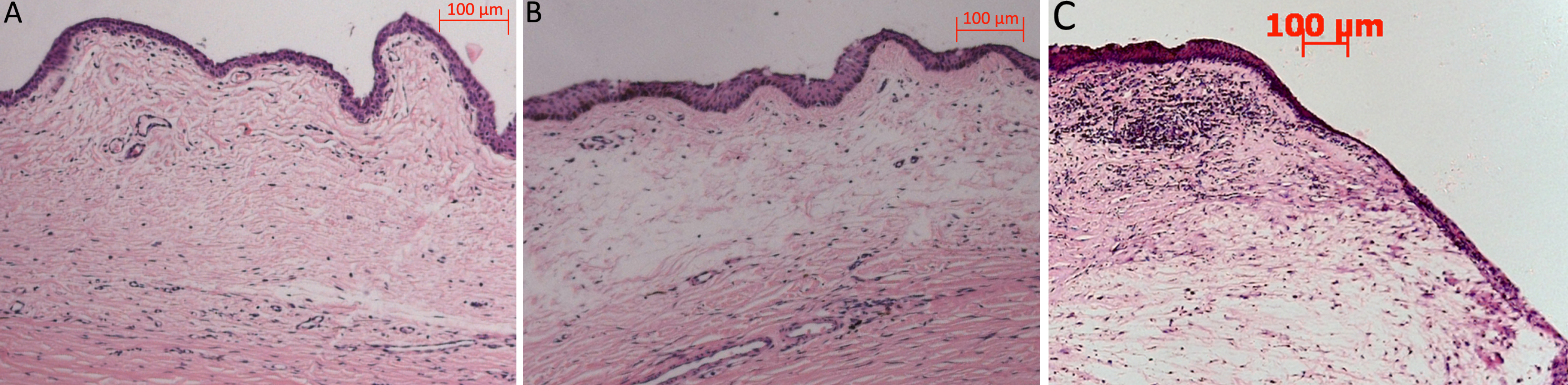
Figure 6. Histologic characteristics of
the surgical site associated with the PBS group, siRNA group, and MMC
group on day 60 after surgery. Treatment with IKKβ-siRNA (B)
showed a marked reduction in subconjunctival scar tissue compared with
the PBS group (A). The conjunctival epithelium appeared healthy,
and the subepithelial connective tissue was loosely arranged, with
moderate subconjunctival cavities, while the MMC treated eyes (C)
exhibited
marked acellularity and large bleb cavities.
