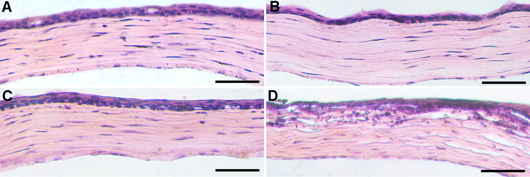
Figure 5. Representative images of H&E
staining showing histology of mouse corneas subjected to air drying and
collected on day 14 after vector application. A: Naive. B:
20
s. C: 30 s. D: 50 s. Corneas exposed to ≤30 s of
drying showed normal morphology whereas corneas subjected to 50 s of
drying showed moderate morphological changes in anterior stroma. Scale
bar denotes 50 µm.
