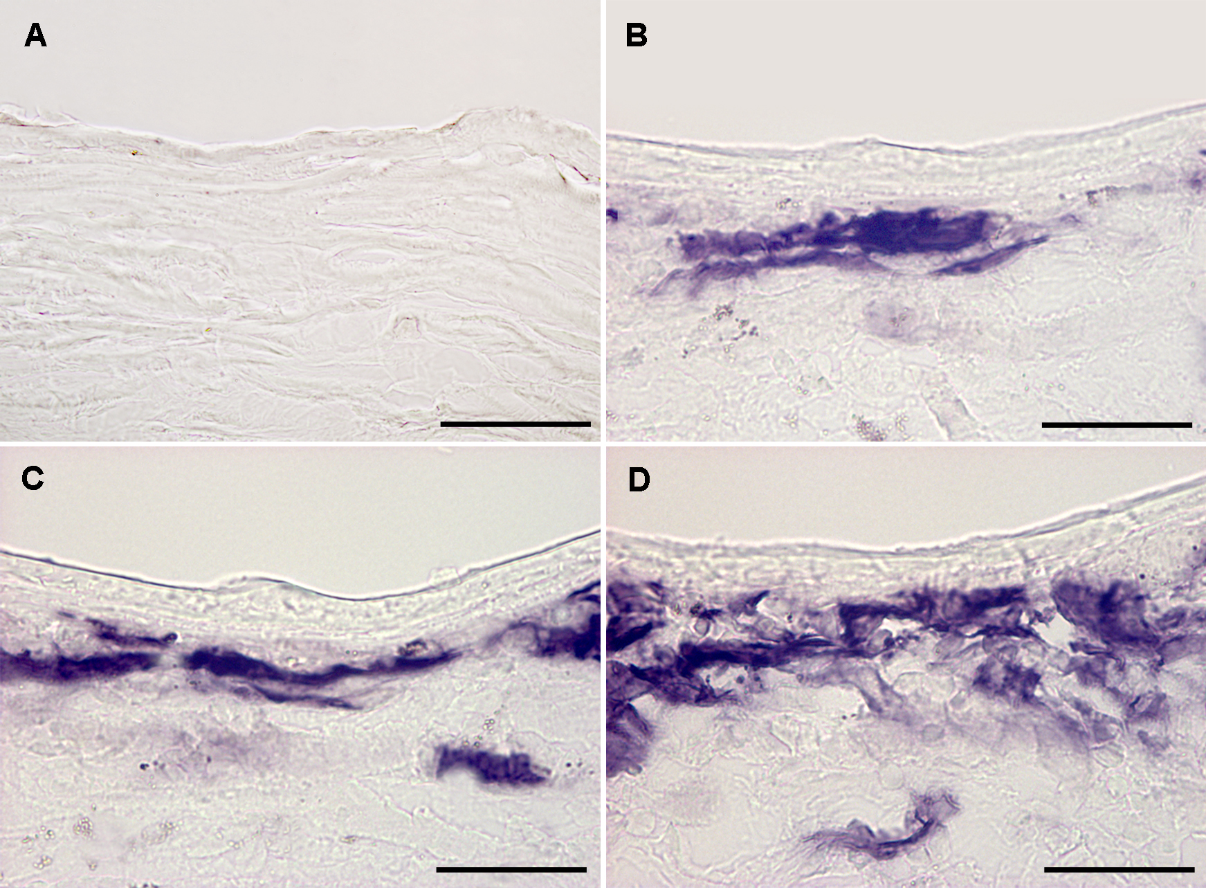
Figure 3. Representative images showing
alkaline phosphatase marker gene delivery (purple) detected on day 14
in
control (naive) and AAV-treated mouse cornea in vivo that received warm
air. A: Naive. B: 20 s. C: 30 s. D: 50
s. Scale bar denotes 50 µm.
