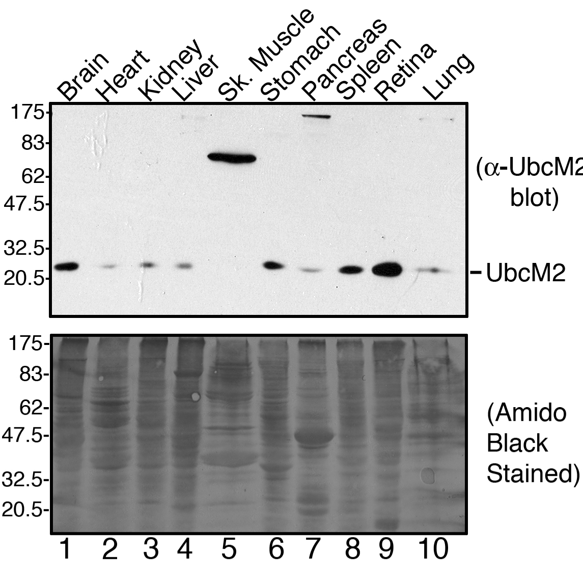
Figure 2. UbcM2 is enriched in the retina and expressed in most organs. Thirty micrograms of lysate from the brain, heart, kidney, liver,
skeletal muscle, stomach, pancreas, spleen, retina, and lung of a 7-month-old mouse were subjected to anti-UbcM2 western blotting
(top blot). The same blot was stained with Amido Black to demonstrate comparable protein levels in each lysate (bottom blot).
The migration of molecular weight markers is shown to the left of the blots.
