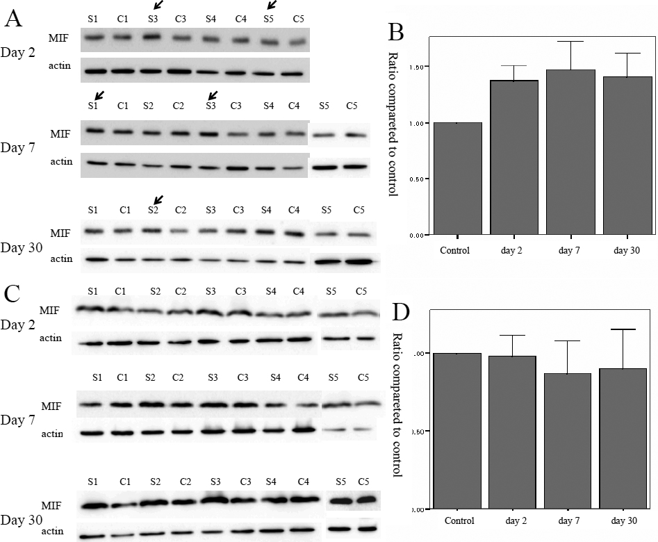
Figure 5. Western blot for macrophage migration inhibitory factor in the ocular surface and lacrimal gland after chemical burn (at days
2, 7, and 30 after injury). A: western blot for MIF in the ocular surface. S is the study eye and C is the control eye. The number designates the serial
number of each mouse. The arrows indicate prominent elevations of MIF in the study eyes relative to the controls. B: Means and standard errors of density calculated from western blotting. MIF is elevated in the ocular surface on days 2,
7, and 30 after chemical burn. P values: control versus day 2 (p=0.004), control versus day 7 (p=0.028), control versus day
30 (p=0.010), otherwise not significant. C: western blot for MIF in the lacrimal gland. S is the study eye and C is the control eye. Numbers designate the serial number
of each mouse. D: Means and standard errors of density calculated from western blot. MIF evidenced no significant differences in the lacrimal
gland after chemical burn. Error bars show mean±1.0 standard error; bars show means.
