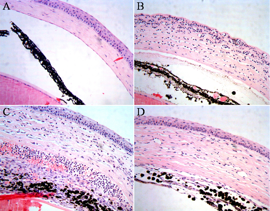
Figure 1. Histology of the mouse eye after
induction of chemical burns by 0.1 M NaOH. Chemical burns induced with
0.1 M NaOH induced severe inflammatory changes on the ocular surface.
Representative figures are shown. A: Control eye, no chemical
burn induced. B: Two days after chemical burn. Severe
infiltration by inflammatory cells and total loss of the epithelial
layer are observed. C: Seven days after chemical burn. Corneal
inflammation is reduced compared to day 2; corneal edema persists;
epithelial layer has regenerated. D: Thirty days after chemical
burn. Inflammation has almost completely subsided; however, marked
increases in corneal stromal thickness and cellularity persist.
