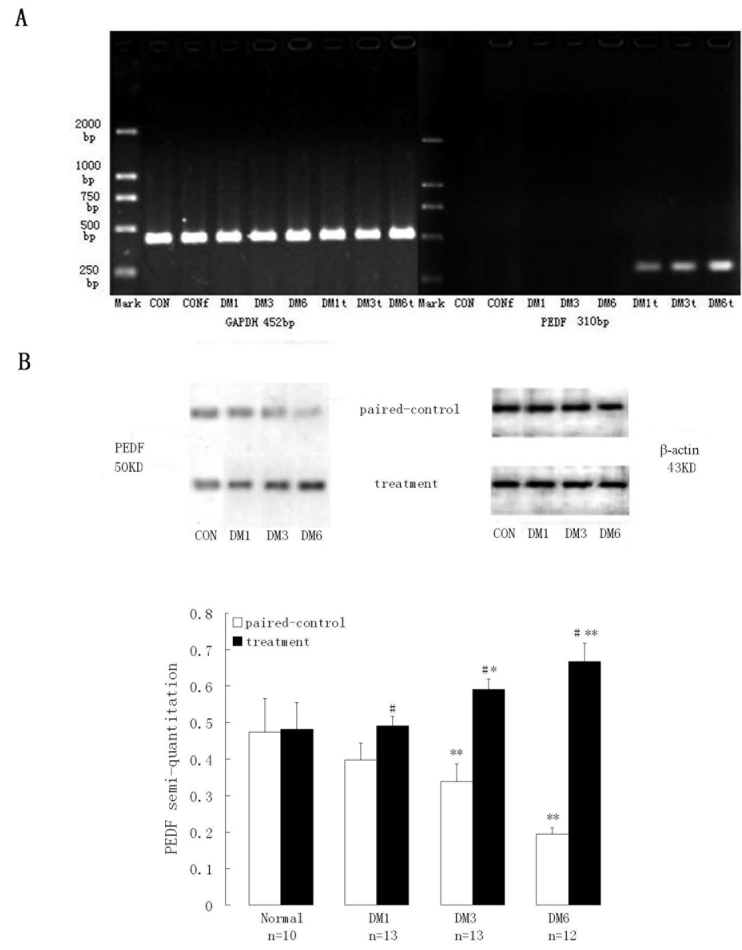
Figure 2. Expression of pigment
epithelium-derived factor in retinae after intravitreal injection. A:
The
expression of human pigment epithelium-derived factor (hPEDF)
mRNA in injected retinae was enhanced and increased over time. No
expression were detected in the uninjected control rats. B: The
protein expression of PEDF decreased in the paired control retinae but
significantly increased in treated eyes (p<0.01) compared to paired
controls or normal control eyes (p<0.01). Values of treatment were
compared to that of normal control *p value <0.05, ** p
value<0.01. Values of treatment were compared to that of paired
control, # p value <0.01. Abbreviations: DM1 represents diabetes 1
month, DM3 represents diabetes 3 months, DM6 represents diabetes 6
months, CON represents normal control group, CONf represents
sham-injected normal control group, t represents treatment.
