Figure 1 of Zhang, Mol Vis 2010; 16:200-206.


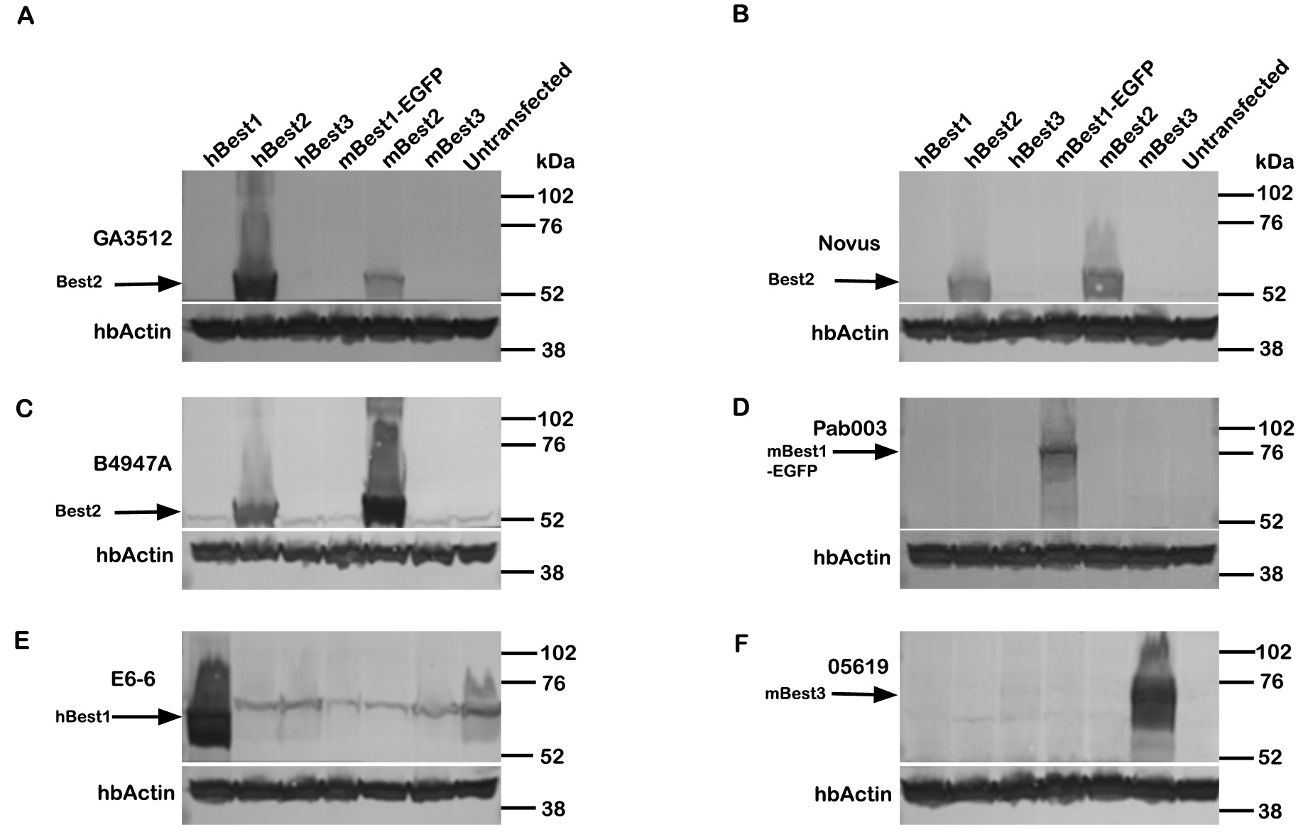
Figure 1. Specificity of GA3512. Western blotting was performed with cell lysates from HEK293 cells transfected to express hBest1, hBest2, hBest3, mBest1-EGFP, mBest2, or mBest3. Untransfected HEK-293 cells were included as a negative control. A: GA3512 specifically recognized hBest2 and mBest2, but was more efficient at identifying hBest2. It did not crossreact with other bestrophins. B: A commercially available anti-Best2 antibody obtained from Novus Biologicals (NOVUS) was also specific to hbest2 and mBest2. C: B4947A, a rabbit polyclonal antibody against mBest2 strongly recognized mBest2 and was less effective at identifying hBest2. Controls confirm expression of D: hBest1, E: mBest1-EGFP, and F: mBest3 using the antibodies indicated. Interestingly, only anti-Best2 antibodies recognized both the human and mouse forms. Also, note the approximately 70 kDa band that is present in every lane in E. This band is non-specific [1]. To insure equivalent loading, blots were cut and the bottom portion blotted for human β-actin (hb-actin).