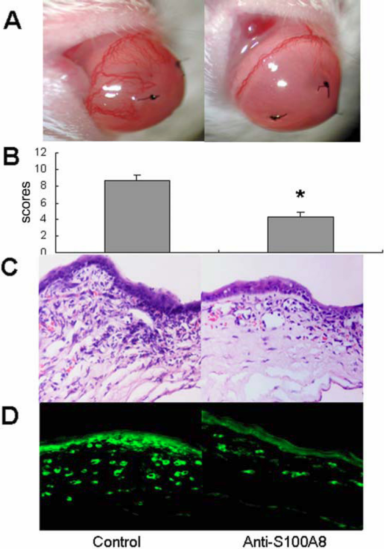
Figure 5. Effect of S100A8 neutralization on infiltration in neovascularized corneas at day 7 after suture placement. Shown are pictures
taken under a slit lamp (A), disease scores (B), infiltration under HE staining (C), and staining for neutrophil marker Gr-1 (D); one representative cornea from three animals in each group; the asterisk indicates a p<0.05 versus control.
